Brezilya'da yuttuğu uyuşturucuyu midesinde İstanbul'a taşıdı

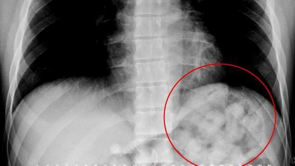
Sabiha Gökçen Havalimanı'nda midesindeki 82 kapsülde uyuşturucu madde taşıdığı belirlenen yabancı uyruklu zanlı tutuklandı. Şüpheli ifadesinde, uyuşturucuyu Brezilya'da yuttuğunu, sonra Sao Paulo'dan Doha'ya, oradan da İstanbul'a geldiğini anlattı.

AA

Sabiha Gökçen Havalimanı'nda görevli gümrük muhafaza ekiplerince, 27 Şubat'ta Katar'ın başkenti Doha'dan uçakla gelen Surinam uyruklu B.T.M'nin yapılan kontrolünde, midesinde 82 kapsülde toplam 1 kilo 180 gram uyuşturucu tespit edildi.

Gözaltına alınan şüpheli, işlemlerinin ardından hakkında Anadolu Cumhuriyet Başsavcılığınca başlatılan soruşturma kapsamında adliyeye sevk edildi.

Şüpheli B.T.M. savcılıktaki ifadesinde, uyuşturucuyu Brezilya'da yuttuğunu, sonra Sao Paulo'dan Doha'ya, oradan da İstanbul'a geldiğini anlatarak, "Türkiye'de bunları doğal yolla çıkarıp İstanbul'da sokaklarda satacaktım. Burada iletişimde olduğum biri yok. 4 Mart için de Brezilya'ya dönüş biletim vardı. Taksim'de bir otelde rezervasyonum vardı. Otelin ücretini de uyuşturucuları sattığımda ödeyecektim. Suçlamaları bu halde kabul ediyorum." ifadelerini kullandı.

İşlemlerinin ardından nöbetçi sulh ceza hakimliğine sevk edilen şüpheli "uyuşturucu veya uyarıcı madde ithal etme" suçundan tutuklandı.